Dra. Flávia Arantes Dentista em Uberlândia
Excelência clínica, cuidado estratégico e conexão humana.
Com atuação focada em ortodontia com alinhadores Invisalign, ortopedia funcional dos maxilares e prevenção, Dra. Flávia Arantes oferece um atendimento exclusivo dentro da Clínica Versage — um espaço multidisciplinar que reúne os melhores especialistas de Uberlândia. Tratamentos personalizados, tecnologia moderna e um cuidado que vai além do sorriso: pensado para você, do início ao fim da jornada.
Nossos Serviços
Tratamentos
Na Clínica Versage, você encontra todas as especialidades odontológicas em um só lugar, com estrutura de alto padrão, tecnologia de ponta.
Ortodontia
Alinhe seus dentes e melhore sua mordida. Os aparelhos evoluíram e agora está cada vez mais rápido e confortável conquistar um sorriso retinho e saudável.
Este tratamento tem como objetivo principal o restabelecimento funcional dos dentes, como a mastigação, e a correta oclusão que envolve também ossos mandibulares e maxilares, articulação e músculos faciais. Mas o paciente também espera que o resultado do tratamento ortodôntico seja estético, ou seja, que o sorriso fique bonito e harmonioso em relação à face.
Saiba mais!
Ortopedia Funcional
dos Maxilares
A OFM é UMA especialidade da odontologia que utiliza aparelhos removíveis que estimulam o crescimento e o desenvolvimento natural das estruturas orofaciais.
A principal função da OFM é restabelecer o equilíbrio funcional dos maxilares, permitindo que eles cresçam de forma harmoniosa e adequada. Isso inclui corrigir problemas de mordida, posição da língua, respiração bucal e desequilíbrios musculares da face. O foco está em estimular o crescimento ósseo e a reorganização funcional dos músculos e articulações.
Saiba mais!
Aparelho Invisível | Invisalign
Os alinhadores Invisalign oferecem a mesma eficácia de um aparelho ortodôntico tradicional, mas com muito mais vantagens!
Além de alinhar os dentes e corrigir o sorriso, eles substituem os incômodos braquetes e fios metálicos por placas transparentes, removíveis e praticamente imperceptíveis. Essa tecnologia inovadora utiliza o planejamento digital e modelagem 3D, permitindo um tratamento altamente preciso e confortável, com resultados mais rápidos e previsíveis.
Saiba mais!
Implantes Dentários
Recupere a função e estética do seu sorriso com implantes dentários de alta qualidade, e tenha mais segurança e durabilidade!
Os implantes dentários são a solução ideal para quem perdeu um ou mais dentes, proporcionando conforto, estabilidade e resultados naturais. Com um pino de titânio substituindo a raiz do dente, você tem um sorriso completo. Adeus dentaduras e problemas ao mastigar.
Saiba mais!
Enxerto Ósseo
Para quem precisa de implantes, mas tem pouco osso, o enxerto devolve a estrutura ideal para uma prótese segura.
O enxerto ósseo visa restabelecer a quantidade óssea adequada para reabilitar pacientes que não podem desfrutar de próteses fixas sobre implantes, devolvendo a capacidade mastigatória do paciente por meio de próteses totalmente estáveis, resultando em conforto, segurança e qualidade de vida.
Saiba mais!
Endodontia
(Tratamento de Canal)
Diga adeus à dor de dente! O tratamento de canal elimina infecções profundas sem perder o dente.
A endodontia (tratamento de canal) é o ramo da Odontologia que trata das lesões e doenças da polpa (nervo) e da raiz do dente. Com a tecnologia avançada da nossa equipe, o procedimento é feito com precisão, garantindo a saúde do seu sorriso por muito mais tempo.
Saiba mais!
Estética do Sorriso
Tratamentos personalizados como clareamento, lentes de contato dental, facetas e Toxina Botulínica para te ajudar a alcançar o sorriso dos seus sonhos.
Com técnicas modernas, você conquista dentes mais brancos, alinhados e harmônicos de forma rápida e eficaz, garantindo um sorriso mais harmônico e confiante. Aposte na estética odontológica e conquiste o sorriso dos seus sonhos!!
Saiba mais!
Próteses Dentárias
Devolva a função e a estética do seu sorriso com soluções personalizadas. Substitua dentes perdidos ou danificados com próteses sob medida, que proporcionam conforto e naturalidade.
Se você perdeu um ou mais dentes, as próteses oferecem uma solução eficaz para melhorar a mastigação, dicção e autoestima. Com opções como prótese de protocolo ou sobre implantes, seu sorriso ficará completo e renovado. Existem diversos tipos de próteses.
Saiba mais!
Periodontia
Cuide da saúde das gengivas e previna doenças como gengivite e periodontite até cirurgias estéticas como a gengivoplastia, nós ajudamos a manter seu sorriso saudável e harmônico.
Cuidar da gengiva é essencial para manter um sorriso saudável. A periodontia é uma especialidade da odontologia direcionada para a prevenção, diagnóstico e tratamento de condições que acometem os tecidos de sustentação dos dentes, ou seja, as gengivas, ligamento periodontal e ossos alveolares.
Saiba mais!Por que escolher nossa clínica odontológica
Experiência e Qualidade
Dra. Flávia Arantes – desde 2009, cuidando com excelência de sorrisos em Uberlândia.
Equipe especializada
Profissionais qualificados em diversas áreas da odontologia, prontos para atender suas necessidades.
Tecnologia Avançada
Scanners intraorais, planejamento virtual e protocolos modernos garantem resultados com excelência.
Ambiente Acolhedor
Nossa clínica é pensada para o seu conforto, oferecendo um ambiente acolhedor e tranquilo para todos os pacientes.
Versage
Conheça a Clínica
A Clínica Versage é um centro de excelência em odontologia, que une tecnologia, conforto e um atendimento verdadeiramente humanizado. Com estrutura moderna, ambientes elegantes e profissionais altamente qualificados em todas as especialidades, a Versage oferece uma experiência completa para quem busca saúde bucal e estética em um só lugar. Cada caso é analisado de forma individualizada, com planejamento preciso e integrado entre as especialidades — garantindo tratamentos personalizados com resultados satisfatórios. Porque aqui cada detalhe foi pensado para proporcionar bem-estar, segurança e acolhimento em todas as etapas do atendimento.
Minha História
A marca Flávia Arantes Odontologia nasceu de uma trajetória de 17 anos de dedicação à odontologia, marcada pelo compromisso com a excelência clínica e o cuidado com cada paciente. Após 15 anos à frente da clínica Oral Fit, em Uberlândia, a Dra. Flávia inicia um novo capítulo, agora com atendimento exclusivo dentro da Clínica Versage, referência em odontologia multidisciplinar.
Com foco em ortodontia com alinhadores Invisalign, ortopedia funcional dos maxilares e prevenção, Flávia une conhecimento técnico, experiência e um olhar estratégico sobre a jornada do paciente. Esse olhar também inspira seu projeto educacional — o MAPS, uma consultoria voltada para ajudar dentistas a estruturar a experiência do cliente em cada ponto de contato. Seu propósito vai além do tratamento: é servir com excelência e plantar sementes de transformação na vida de cada pessoa, com presença verdadeira e valores que edificam.
2. Excelência técnica e constante evolução profissional
3. Valorização da experiência do cliente em todos os pontos de contato
4. Pontualidade e comprometimento com o tempo e bem-estar de quem confia no nosso cuidado
Dra. Flávia Arantes
Ortodontia – CRO MG-36643
Cirurgiã-dentista formada pela Universidade Federal de Uberlândia, com 17 anos de experiência clínica e foco em ortodontia, ortopedia funcional dos maxilares e prevenção.
Fundadora e Gestora por 15 anos da Clínica Oral Fit, hoje atua com sua marca pessoal — Flávia Arantes Odontologia — com atendimento exclusivo na Clínica Versage.
Atuou em empresas como Colgate e 3M Oral Care, o que ampliou sua visão sobre inovação e experiência do paciente.
Idealizadora do projeto MAPS, que ajuda dentistas a estruturar a jornada do paciente de forma estratégica e humanizada.
O MAPS é uma consultoria criada por Dra. Flávia Arantes com o objetivo de ajudar dentistas a estruturarem a jornada do paciente de forma estratégica, humanizada e sustentável. A metodologia combina quatro pilares fundamentais:
M. Mapeamento da Jornada,
A. Atendimento Premium,
P. Posicionamento Estratégico e
S. Satisfação Duradoura
De forma prática e didática, o MAPS convida o profissional a: Mapear com Intenção cada etapa do atendimento, Atender com Excelência desde o primeiro contato, Posicionar com Estratégia para ser lembrado e indicado, e Satisfazer para Fidelizar, encantando continuamente e criando relações duradouras. É uma metodologia transformadora que une técnica, visão de negócio e cuidado genuíno — ideal para dentistas que querem ir além do óbvio e construir uma experiência marcante em cada detalhe.
EXCELENTE Com base em 142 avaliações Publicado em Mariana Caixeta30/08/2024Trustindex verifica se a fonte original da avaliação é Google. Um lugar aconchegante, atendimento perfeito, ótimas profissionais. Indico!!!Publicado em Marise Carvalho09/08/2024Trustindex verifica se a fonte original da avaliação é Google. Equipe responsável e atenciosa.Publicado em Luciana Muniz26/07/2024Trustindex verifica se a fonte original da avaliação é Google. Profissionalismo e sensibilidade no atendimento. Parabéns pela excelência no atendimento. As crianças precisam de profissionais como vocês! GratidãoPublicado em Gabrielly Cristiny26/07/2024Trustindex verifica se a fonte original da avaliação é Google. Excelentes profissionais! Sempre muito atenciosos e cuidadosos com os pacientes!Publicado em Emelly Silva26/07/2024Trustindex verifica se a fonte original da avaliação é Google. Excelente Clínica, profissionais maravilhosas, sem dúvidas confio de olhos fechados. 🥰
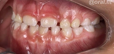
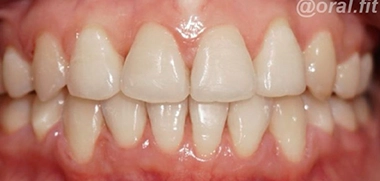
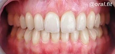
Resultados que Falam por Si
Arraste a linha divisória para os lados e compare o antes e depois do tratamento no sorriso de nossos pacientes.

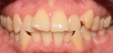
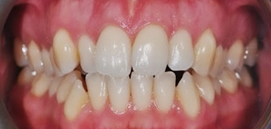
Tratamento Invisalign + Clareamento

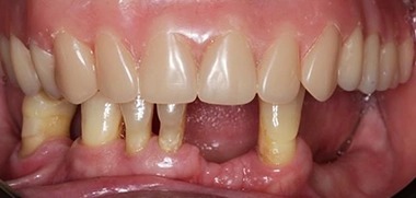
Prótese Protocolo parafusada sobre implante

Tratamento com Aparelho Fixo Autoligado

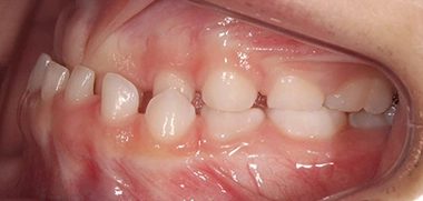
Mordida Descruzada com Ortopedia - Criança de 7 anos

Troca de Resinas

Tratamento com Invisalign

Tratamento com Invisalign não tem limite de idade

Reabilitação com Prótese Protocolo sobre Implantes

Tratamento com Alinhadores Invisalign, Clareamento e Facetas em Resina
Agendamento
Agende agora e comece sua jornada para um sorriso mais saudável e bonito!
Não adie mais o cuidado com o seu sorriso! Estamos aqui para atender você e toda sua família com tratamentos personalizados e um atendimento humanizado.
Entre em Contato Conosco
- Horário de funcionamento: Segunda – Sexta: 8h até 18h.
Nos acompanhe nas Redes Sociais